SmileGallery
Smile Gallery

Achieve Your Dream Smile

  • Turn the clock back on years of neglect
  • Fix dental damage or disease for a healthier smile
  • We’ll develop a treatment plan to meet your grin goals
SmileGallery

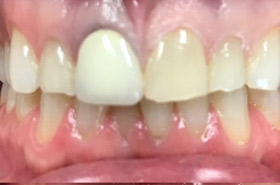
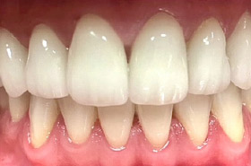
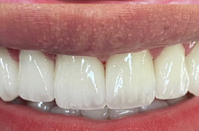
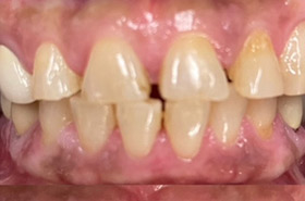
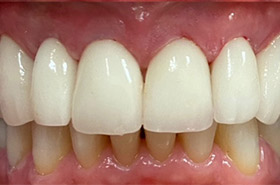
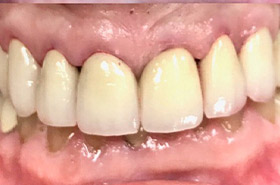
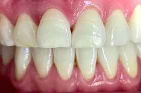
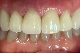
Get Inspired by Our Cathedral City, CA Smile Gallery

At Desert Dental Alternatives, we hear from patients all the time about what they’d like to change about their smile. You probably have thought the same thing when you look in the mirror. Now it’s time to do something about it! Browse our Cathedral City, CA smile gallery to find out what’s possible. We’ve transformed the smiles of many patients and can’t wait to help you with yours!

You can also check out our patient testimonials to find out why so many patients love our practice. Then schedule an appointment by calling 760-324-4450 today. Before you know it, you’ll be part of our smile gallery too!